Introduzione
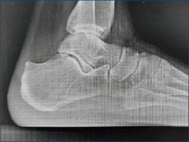
La malattia di Haglund consiste in una prominenza postero superiore della grande tuberosità calcaneare, che fu descritta per la prima volta da Patrick Haglund nel 1928 come borsite retrocalcaneare in presenza di una protuberanza anomala del profilo postero-superiore del calcagno (Fig. 1). Questa fu inizialmente individuata in soggetti di fascia sociale elevata, che utilizzavano scarpe da golf, con un contorno posteriore rigido 1.
La deformità di Haglund si può associare a tendinite o tendinosi inserzionale dell’Achille con eventuale formazione di ossificazioni intra tendinee, ed a borsite pre o retro-achillea. La presenza simultanea di queste tre condizioni caratterizza la triade di Haglund (Fig. 2) 2.
Mentre la deformità di Haglund è più caratteristica di una popolazione giovane e attiva, le ossificazioni inserzionali dell’Achille si presentano in età più avanzata, soggetti sovrappeso, malati reumatici, pazienti con gastrocnemio breve 3.
Anatomia
La parte prossimale della faccia posteriore della grande tuberosità calcaneare è ricoperta da uno strato cartilagineo, ed è separata dal tendine di Achille per mezzo della borsa pre-achillea. Non è quindi sede di inserzione dell’Achille. Il tendine di Achille si inserisce nella parte intermedia, e in particolare nella regione mediale vi è l’inserzione del soleo, mentre in quella laterale vi è l’inserzione delle fibre provenienti dal capo laterale del gastrocnemio. Nella parte inferiore della grande tuberosità calcaneare si inseriscono invece le fibre provenienti dal capo mediale del gastrocnemio, che sono quelle in continuazione con la fascia plantare 4. Si può quindi sommariamente immaginare una rotazione di 90° nella distribuzione delle fibre tendinee rispetto alla conformazione del tricipite della sura.
Eziopatogenesi
L’eziopatogenesi è dibattuta. Spesso è di origine idiopatica 5. Alcuni studi hanno dimostrato una maggior incidenza di entesopatia dell’Achille nei pazienti con gastrocnemio contratto, piede cavo, piede piatto con retropiede equino, esiti di traumatismo nella regione dell’apofisi in età infantile 6. Questa condizione è nota per colpire maggiormente soggetti femminili tra 20 e 30 anni, e per essere spesso bilaterale 7. Tuttavia tra i fattori di rischio vengono descritti anche l’ obesità, il sesso maschile, la pratica della corsa 8,9.
Le teorie meccaniche si focalizzano sul fatto che un calcagno più verticale pone il suo aspetto posteriore e la borsa retrocalcaneare più a contatto con il tendine di Achille. Anche l’utilizzo di calzature rigide posteriormente aumenta la pressione del calcagno sul tendine di Achille 10.
La superficie postero superiore del calcagno è rivestita da uno strato cartilagineo, e a questo livello sono stati istologicamente dimostrati fenomeni artrosici. La gravità di questi fenomeni è correlata all’entità dei sintomi. Quindi il dolore legato alla deformità di Haglund può essere legato a questa degenerazione artrosica, all’edema osseo, alla borsite retrocalcaneare, all’entesite, o alla borsite retroachillea 11-13.
Diagnosi
La diagnosi è prima di tutto clinica, con dolore e tumefazione a livello dell’inserzione dell’Achille, rigidità mattutina.
Una radiografia sotto carico del piede è l’esame di primo livello, che permette di evidenziare la presenza di una prominenza postero superiore del calcagno, e di eventuali ossificazioni inserzionali intra tendinee. Questa permette anche le misurazioni necessarie (Fig. 3).
- L’angolo di Fowler-Philip è disegnato tra la tangente alla faccia inferiore del calcagno dal tubercolo postero-mediale alla calcaneo-cuboidea, e la tangente alla faccia posteriore della grande tuberosità calcaneare. L’angolo normale si considera di 44-69°, mentre un angolo > 75° è considerato patologico 14.
- Il calcaneal pitch è disegnato tra la tangente alla faccia inferiore del calcagno e il terreno. Un angolo di 15-18° è considerato normale, mentre oltre i 30° il valore è sicuramente patologico 15.
- L’angolo di Chauveaux è la differenza tra gli angoli alfa e beta, dove alfa è il calcaneal pitch, mentre beta è l’angolo tra la perpendicolare al terreno passante per il punto più posteriore del calcagno, e la tangente alla tuberosità posteriore passante per questo stesso punto. I valori normali sono < 12° 16.
- Le linee parallele di Heneghan-Pavlov sono una linea inferiore tangente alla superficie plantare del calcagno e passante per il punto più basso della calcaneo-cuboidea, e una parallela a questa, passante per il limite posteriore dell’astragalo calcaneare. La proiezione superiore della grande tuberosità calcaneare è patologica se supera la linea superiore 17.
- la X/Y ratio è definita da X, che è la lunghezza maggiore del calcagno, dal punto più anteriore dell’apofisi anteriore al punto più posteriore della grande tuberosità (escluse le calcificazioni), e da Y, che è la lunghezza della grande tuberosità, dal punto più posteriore dell’astragalo calcaneare fino alla sommità della grande tuberosità. Il rapporto indica la lunghezza calcaneare relativa. Un valore < 2,5 indica una deformità di Haglund 18.
Anche se la misurazione degli angoli può essere di aiuto, alcuni studi sottolineano la loro inaffidabilità nella decisione chirurgica, e raccomandano di valutare il tipo di intervento in base al paziente e alla sintomatologia, piuttosto che alle misurazioni radiografiche 15,19.
La sede del dolore è importante, in quanto potrebbe essere limitata all’aspetto postero superiore mediale o laterale del calcagno, cosa che indicherebbe la necessità di una semplice calcaneoplastica per via paratendinea o endoscopica. Oppure il dolore potrebbe riguardare anche la regione postero inferiore del calcagno, sede di eventuali ossificazioni inserzionali, fatto che indicherebbe la necessità di un intervento di calcaneoplastica per via trans tendinea. Se invece il dolore fosse prevalentemente preachilleo, questo potrebbe indicare una borsite, e quindi la possibile indicazione ad un trattamento infiltrativo.
Anche la tumefazione con dolore inserzionale è importante, perché ci indica se il tendine di Achille è degenerato nel suo tratto distale, e se quindi vi sia indicazione alla revisione del tendine o più raramente alla trasposizione del flessore lungo dell’alluce.
La risonanza magnetica è indicata per valutare l’entità della degenerazione achillea, ma anche per fare diagnosi differenziale con altre cause di dolore calcaneare. È necessaria quindi solo per definire la patologia tendinea e i quadri atipici 20.
Trattamento conservativo
Il trattamento conservativo è la prima linea di terapia, e include:
- Modifica delle calzature: indossare calzature aperte posteriormente e rialzo calcaneare per ridurre gli stress sul tendine di Achille.
- Ortesi: i plantari ottimizzano la biomeccanica del piede e riducono gli stress.
- Terapie fisiche: rinforzo eccentrico, stretching, terapia manuale.
- FANS: riducono dolore e infiammazione.
- Singola infiltrazione steroidea della borsa pre-achillea: reduce l’infiammazione bursale.
- PRP: effetto antinfiammatorio e rigenerativo
- Onde d’urto: creano un traumatismo tissutale stimolando la neoangiogenesi e la formazione di nuovo tessuto connettivo 21.
Il trattamento conservativo offre buoni risultati soltanto nel 50% dei casi e spesso serve soltanto a posticipare l’intervento chirurgico, che diviene comunque indicato non prima di aver eseguito 3-6 mesi di terapie senza beneficio 22,23.
Trattamento chirurgico
Calcaneoplastica parachillea
L’intervento di sola calcaneoplastica può essere eseguito quando non vi è estesa degenerazione tendinea e non sono presenti ossificazioni inserzionali.
L’incisione chirurgica è più spesso posterolaterale, in quanto la prominenza è prevalente sul versante laterale. Con questa via è però più difficile quantificare la porzione di osso da rimuovere medialmente. Altre vie di accesso sono la posteromediale, la duplice incisione mediale e laterale, l’incisione trasversale tipo Cincinnati.
I risultati di questo tipo di procedura sono eccellenti o buoni nel 70% dei casi 24, ma con una percentuale non trascurabile di pazienti con sintomi residui, quali dolore 25, aderenze, rigidità, ipoestesia nell’area della cicatrice chirurgica 26.
Alcuni articoli mettono in guardia contro questo tipo di intervento, citando risultati mediocri, con frequente insoddisfazione dei pazienti a causa dei lunghi tempi di recupero e del dolore persistente. Il chirurgo dovrebbe non sottovalutare questi aspetti nel dare informazioni preoperatorie ai pazienti 19,25.
Non è necessaria alcuna immobilizzazione e il carico è concesso da subito. Tuttavia i tempi di recupero sono prolungati, mediamente con ritorno alle normali attività dopo 4-6 mesi 27-29.
Addirittura in atleti professionisti si è visto che solo il 60% degli operati è tornato al livello precedente, affrontando la prima competizione in media dopo 7.5 mesi dall’intervento 30.
Calcaneoplastica transachillea
Quando è presente la triade di Haglund (deformità di Haglund, entesopatia ossifica inserzionale, borsite retrocalcaneare) occorre un approccio più esteso con accesso trans tendineo, distacco parziale o subtotale del tendine per esporre il calcagno, asportazione della borsite retrocalcaneare, debridement del tendine con rimozione delle ossificazioni intra tendinee.
Per eseguire questo intervento sono stati descritti vari tipi di incisione, come la longitudinale mediana (central Achilles tendon-splitting approach), l’incisione a J mediale, l’incisione laterale, la doppia incisione, l’incisione trasversale tipo Cincinnati, la step incision.
Quando una brevità del gastrocnemio è associata, occorre considerare una gastroc recession con la tecnica ritenuta più opportuna o familiare (Strayer, V-Y) 31. Quando il tendine di Achille è diffusamente degenerato occorre considerare inoltre una trasposizione del flessore lungo dell’alluce 32.
Si accetta un distacco del 50% del tendine di Achille senza rischio di rottura secondaria 33. Alcuni studi portano questo limite addirittura al 70% 34. Quando si superano queste proporzioni è necessario reinserire il tendine, e questo può essere fatto attraverso punti transossei o due ancorette 35 36.
Incisione mediana longitudinale
Il vantaggio dell’incisione longitudinale mediana è quello di evitare il nervo surale, mentre lo svantaggio è la cicatrice centrale che potrebbe dare irritazione al contatto con la calzatura 37.
Il tendine viene aperto longitudinalmente al centro, in quanto è stato dimostrato che la patologia tendinea inserzionale interessa in genere la porzione centrale. Questo permette una sufficiente esposizione con una sola incisione, evitando un debridement insufficiente 38.
Inoltre è noto che la vascolarizzazione del tendine giunge in gran parte attraverso il paratenonio, in particolare da mediale e da laterale. Quindi in questo caso la vascolarizzazione non viene intaccata 39.
È stata descritta una percentuale di soddisfazione del 77-96%, senza perdita di forza del polpaccio 34,38,40.
In una vasta casistica è stato evidenziato un 4% di rottura secondaria dell’Achille, 2% di revisioni per recidiva del dolore o tendinite, 9% di complicanze di guarigione della ferita, 3% di trombosi venosa profonda 41.
Anche i tempi di recupero prolungati vanni sottolineati, con 6-24 mesi richiesti per il completo recupero 19,42.
Incisione Cincinnati
Si tratta di un accesso trasversale lungo le pieghe cutanee retrocalcaneari a livello della deformità del calcagno (Fig. 4). I chirurghi che preferiscono questo tipo di accesso sostengono che la cicatrice matura è quasi invisibile e molto accettabile. Sostengono anche che il nervo surale a tale livello è già distante dal tendine e diviso in numerosi rami, e che pertanto non si osservano casi di lesione o intrappolamento del nervo 43,44.
Incisione a J mediale
Questo tipo di incisione fornisce un’ottima visualizzazione e riduce il rischio di interessamento del nervo surale (Fig. 5).2
Step incision
L’incisione prossimale è parachillea mediale. La parte trasversale dell’incisione viene eseguita a livello della deformità, lungo una delle pieghe cutanee, come nel caso della Cincinnati. La parte distale è di nuovo longitudinale laterale a livello del calcagno. È importante che gli angoli siano assolutamente retti (Fig. 6) 10.
Calcaneoplastica endoscopica
Nella sua serie iniziale di 20 pazienti, van Dijk et al. hanno riportato risultati buoni o eccellenti in 19 pazienti con ritorno allo sport in 12 settimane 45. In una serie più recente di 164 pazienti, sono state riportate solo complicanze minori, con risultati buoni o eccellenti nel 90% dei casi 46. I pazienti con risultati insoddisfacenti trovano indicazione al reintervento con tecnica open, e questi generalmente mostravano ossificazioni intratendinee 47.
Le controindicazioni sono quindi la presenza di tendine di Achille degenerato, evidenti ossificazioni intratendinee o inserzionali. In questi casi è preferibile un approccio a cielo aperto con distacco tendineo parziale ed eventuale reinserzione o trasposizione del FLA 48. Con le corrette indicazioni, questa tecnica ha dimostrato risultati migliori rispetto alla calcaneoplastica open, con tempi di recupero ridotti e minor numero di complicanze 49. In realtà però non tutti gli studi concordano con questi risultati, infatti ve ne sono alcuni che non trovano vantaggio alcuno nella tecnica endoscopica rispetto a quella aperta 50. Infatti anche con la tecnica endoscopica sono riportati casi di rottura dell’Achille, trombosi venosa profonda e ipertrofia delle cicatrici 51. Vanno inoltre ricordate la lunga curva di apprendimento e i tempi chirurgici significativamente maggiori 52.
Osteotomie calcaneari
L’osteotomia rotazionale del calcagno fu descritta per la prima volta da Zadek nel 1939 53.
Si tratta di un’osteotomia closing wedge dorsale ideata per allontanare il profilo posteriore del calcagno dal tendine di Achille. La posizione dell’osteotomia è critica perché può interferire con la sottoastragalica se troppo anteriore, e con il tendine di Achille se troppo posteriore. Inoltre ha l’effetto di trascinare il cuscinetto adiposo calcaneare più posteriormente, e di cambiare il profilo posteriore del calcagno. Inoltre se l’apice plantare dell’osteotomia è posteriore, questa ottiene la semplice rotazione anteriore della tuberosità, mentre se il vertice è anteriore si ottiene anche l’orizzontalizzazione del calcagno, che può essere di aiuto nel piede cavo. Un angolo di Chauveaux Liet > 30° è considerato una buona indicazione per un’osteotomia di Zadek 46.
Nel 1995 fu descritta una successiva modifica con rimozione di un dischetto d’osso completo in modo da avanzare la tuberosità calcaneare senza alterare le tensioni sui tessuti molli 54.
I risultati di queste procedure sono dibattuti e non esistono molti studi in letteratura, essendo una pratica poco utilizzata. Uno studio ha valutato i risultati delle osteotomie calcaneari rispetto alla resezione della prominenza calcaneare postero-superiore. I risultati clinici sono stati equiparabili, ma con tempi di recupero migliori 55. In un altro studio sono stati evidenziati risultati a lungo termine migliori, sebbene con tempi di recupero più lunghi 56.
Discussione
La malattia di Haglund è una delle cause maggiori di dolore calcaneare posteriore, e in assoluto è molto diffusa tra la popolazione e presente nell’ambulatorio ortopedico. La deformità di Haglund è una prominenza dell’aspetto postero-superiore del calcagno, che in realtà non è sede di inserzione del tendine di Achille, ma che proietta la superficie posteriore del calcagno a ridosso del tendine, irritando cronicamente la borsa retrocalcaneare e il tendine di Achille, il quale con il tempo può degenerare e sviluppare una tendinosi inserzionale anche calcifica, configurando così la triade di Haglund.
Come si è visto in questa review, è importante un tentativo di terapia incruenta prima di intraprendere un percorso chirurgico, anche se spesso questo è necessario. Provare ad evitare l’intervento è doveroso in quanto anche l’intervento chirurgico non offre risultati eccezionali, con percentuali non trascurabili di pazienti che hanno disturbi residui e comunque con tempi di recupero molto lunghi. Bisognerebbe informare bene il paziente di questi aspetti.
La scelta dell’intervento chirurgico deve essere posta sul tipo di paziente e di deformità, anche se esistono misurazioni radiografiche che ci aiutano a determinare la lesione. Esistono diversi tipi di approccio, che possono prevedere il distacco e la reinserzione del tendine a seconda che vi siano ossificazioni inserzionali o meno. È importante conoscere le varie tecniche per sapersi adattare al tipo di deformità e all’eventuale presenza di precedenti cicatrici chirurgiche.
Le tecniche endoscopiche sembrano ridurre complicanze e tempi di recupero (anche se non tutti gli studi sono concordi su questo), e comunque comportano una lunga curva di apprendimento e un considerevole aumento del tempo chirurgico. Purtroppo in epoca di DRG anche questo aspetto va considerato.
Le osteotomie in ultimo, sono ideate per allontanare l’aspetto postero superiore del calcagno dal tendine, ma i risultati in letteratura non sono chiari anche perché le casistiche sono poco numerose.
In conclusione: adattare la tecnica al singolo paziente, oltre che al bagaglio tecnico del chirurgo, e informare attentamente il paziente sulle possibili complicanze e sui lunghi tempi di recupero.
Contributo degli autori
Francesco Di Caprio: stesura del manoscritto; Lorenzo Ponziani: discussione e revisione; Marina Gigli: organizzazione del materiale; Maria Adiletta Navarra: ricerca bibliografica
Storia
Ricevuto: 17 marzo 2025
Accettato: 1 Luglio 2025
Figure e tabelle
Figura 1. Radiografia che mostra la deformità postero-superiore del calcagno, tipica della malattia di Haglund.
Figura 2. Radiografia che mostra una deformità di Haglund associata ad entesopatia calcifica dell’Achille.
Figura 3. Misurazioni radiografiche della deformità di Haglund: (a) angolo di Fowler-Philip; (b) calcaneal pitch; (c) angolo di Chauveaux; (d) linee parallele di Heneghan-Pavlov; (e) X/Y ratio.
Figura 4. Incisione Cincinnati.
Figura 5. Incisione a J mediale.
Figura 6. Step incision.

