Introduzione
Le fratture della diafisi femorale sono tra le fratture degli arti inferiori più comuni nei bambini 1. L’incidenza è tra 1,6-2% di tutte le fratture pediatriche con un andamento bimodale e con picco di incidenza tra 2 e 4 anni ed in età adolescenziale ed il rapporto maschi femmine 3/1 2. L’etiologia varia in funzione dell’età includendo: cadute accidentali, cadute dall’alto, incidenti stradali, traumi sportivi e le non rare fratture patologiche 3. È noto che la frattura di femore prima dei 18 mesi – cioè prima che il bambino sia in grado di camminare – sia fortemente correlata al sospetto di abuso su minori 4. Nei bambini di età superiore a 3 anni, è altamente improbabile che l’abuso possa causare fratture del femore poiché la struttura ossea a questa età è significativamente più forte e resistente sia alle forze di torsione che ai colpi diretti. È possibile negli sportivi la comparsa di fratture da stress da “overuse” 5. I parametri che condizionano il trattamento sono rappresentati dall’età, il peso, il tipo di frattura, lo stato dei tessuti molli, i traumi associati ed in minore misura le preferenze e la compliance della famiglia associate alla esperienza del chirurgo. Generalmente nei pazienti più giovani fino a 5 anni di età la scelta terapeutica ricade su metodiche di trattamento incruento 6, tenendo conto delle capacità di rimodellamento del femore e della deformità tollerate (Tab. I); l’opzione chirurgica viene preferita in età scolare 7.
Il trattamento incruento
Per molto tempo, il trattamento incruento è stata la prima scelta nel trattamento delle fratture di femore in età pediatrica, confidando nelle ampie capacità di rimodellamento osseo del paziente pediatrico (Tab. I). Le fratture diafisarie di femore che si verificano nei soggetti con età < 18 mesi sono spesso causate da abusi e maltrattamenti. Per questi pazienti, il trattamento più efficace, soprattutto se al di sotto dei 6 mesi di età risulta essere il divaricatore di Pavlik 8 (Fig. 1). Questo è in grado di stabilizzare la frattura, riducendone il dolore e attenuando le possibili complicazioni. Inoltre, è facile da applicare, riduce i tempi di ospedalizzazione, facilita il nursing e l’igiene del neonato. Qualora il divaricatore non riuscisse a fornire la sufficiente stabilità alla frattura, può optarsi per un trattamento in gesso pelvi-podalico o spica cast. La trazione è da usare molto raramente in questa fascia di età 9. Al di sopra dell’età di 6 mesi il divaricatore spesso non è in grado di fornire la sufficiente stabilità alla frattura. Per tale motivo il trattamento che usualmente viene raccomandato è la temporanea skin traction e la successiva immobilizzazione in gesso 10. Al di sotto dei 12 kg è indicata la “Gallows traction” (Fig. 2), mentre al disopra dei 12 kg è indicata la Hamilton-Russel skin traction 11 (Fig. 2). Altre opzioni possibili sono l’immediato confezionamento dell’apparecchio gessato o la trazione permanente fino alla consolidazione.
Il trattamento cruento
L’opzione del trattamento chirurgico è il trattamento di scelta nei pazienti tra i 6 e 13: esso presenta anni alti indici di consolidazione e bassi di complicanze 12. Le metodiche di trattamento prevedono diverse opzioni, tra le quali le più frequentemente scelte sono gli elastic stable intramedullary nailing (ESIN), i fissatori esterni, le placche.
ESIN
Questi si dimostrano particolarmente vantaggiosi in termini di durata dell’ospedalizzazione e bassi rischi infettivi, facilità della tecnica chirurgica presentando lo svantaggio della notevole influenza del peso del paziente 13 quale vincolo alla loro indicazione. Inoltre, sono controindicati in presenza di instabilità di frattura o pluriframmentarietà.
Fissatore esterno
Altra opzione terapeutica è rappresentata dall’utilizzo del fissatore esterno, utilizzato preferenzialmente nel politrauma ed in presenza di fratture esposte, ma anche in fratture della metafisi ed in presenza di cisti ossee 14. Presenta il vantaggio di rispettare le fisi e di essere di facile applicazione. Tuttavia, i rischi maggiori sono l’infezione dei tramiti, la lenta guarigione, la rifrattura, oltre alla possibile rigidità del ginocchio conseguente alla transfissione del tensore della fascia lata nell’applicazione.
Placca
La placca per via submuscolare o inserita in minimally invasive plate osteosynthesis (MIPO) rientra tra le indicazioni delle fratture di femore in età pediatrica. Tuttavia, il suo utilizzo è riservato a casi maggiormente complessi o nei casi di impossibilità all’utilizzo dei chiodi elastici per peso superiore ai 45 kg 15.
Materiali e metodi
Dall’aprile 2021 sono stati presi in esame un totale di 32 pazienti, (23 maschi e 9 femmine). I pazienti sono stati divisi in 2 gruppi: gruppo 1 (18 paziente 0-6 anni), gruppo 2 (15 pazienti tra 6-12 anni). Le fratture sono state inquadrate e classificate secondo la classificazione pediatrica completa delle fratture delle ossa lunghe dell’AO 16. Le sottocategorie 32-D 4.1 (trasversale completa con un’obliquità di 30º o inferiore) e 32-D 5.1 (obliqua completa o spirale superiore a 30º) sono fratture semplici, mentre le sottocategorie 32-D 4.2 (trasversale multiframmentaria di 30º o meno) e 32-D 5.2 (obliquo multiframmentario o spirale superiore a 30º) sono modelli instabili. Per queste fratture si è optato per trattamenti incruenti o cruenti, scelti anche in considerazione dell’età del piccolo paziente. I trattamenti incruenti sono stati scelti per lo più per i pazienti più giovani (fino a 5-6 anni di età) e prevedevano o la riduzione della frattura con apposizione di skin traction per 4 settimane o il confezionamento immediato di apparecchio gessato pelvi-podalico. I trattamenti cruenti, come la sintesi con chiodi endomidollari elastici o l’utilizzo di fissatori esterni, sono stati indicati per pazienti con età scolare (> 5-6 anni di età). Pertanto, sono stati ottenuti 2 gruppi principali (incruento (I) o cruento (C)) i quali sono stati suddivisi in ulteriori 4 sottogruppi per tipo di trattamento scelto: IST (incruento - skin traction), IGPP (incruento - apparecchio gessato pelvi-podalico), CCEE (cruento - chiodi endomidollari elastici), CFE (cruento - fissatore esterno).
Nel gruppo incruento (GI), 14 pazienti sono stati trattati in pelvipodalico immediatamente al loro arrivo fino alla consolidazione – IGPP (incruento - apparecchio gessato pelvi-podalico) –, 2 pazienti sono stati trattati con 4 settimane di “Trazione di Gallow su balcanica fino alla consolidazione – IST (icruento - skin traction) –, e 2 sono stati sottoposti ad un primo trattamento in pelvipodalico e successivo shift verso i chiodi elastici.
Nel gruppo cruento (GC), 12 pazienti sono stati trattati con chiodi elastici – CCEE (cruento - chiodi endomidollari elastici) –, 3 pazienti sono stati trattati con fissatore esterno – CFE (cruento - fissatore esterno) –. Nessun paziente è stato trattato con placca (Tab. II).
Per tutti e 4 i sottogruppi di pazienti è stato eseguito un follow-up minimo di 1 anno che prevedeva una valutazione sia radiografica sia clinica in ambito ambulatoriale.
Risultati
Sono stati presi in esame i tempi di consolidazione, la deformità residua, le complicanze possibili in corso di trattamento e la soddisfazione del paziente anche in termini di costi legati alla durata della degenza. Per quanto riguarda i pazienti trattati incruentemente, i risultati a distanza sono stati sovrapponibili tra la trazione per 4 settimane e l’immediato trattamento in gesso, sebbene quest’ultimo presenti un minor rischio in termini di deformità residua, un minor rischio di complicanze. Inoltre, è stato osservato che il trattamento in gesso risulta essere meglio tollerato dal paziente e determini una significativa riduzione dei costi in termini di riduzione della degenza ospedaliera. Circa il trattamento chirurgico anche in questo i risultati sono stati sovrapponibili nei due gruppi di trattamento, sebbene i chiodi elastici siano meglio tollerati del fissatore esterno che tuttavia si dimostra maggiormente indicato nelle fratture maggiormente complesse pur presentando lo svantaggio del rischio di rifrattura e rigidità articolare al ginocchio e con tempi di consolidazione tendenzialmente più lunghi (Tab. III).
Discussione
Le fratture di femore in età pediatrica rappresentano a tutt’oggi un grande impegno per lo specialista ortopedico. Il trattamento è orientato principalmente dall’età, con una preferenza per l’incruento fino a 5 anni e per il chirurgico dai 6 anni in su. È evidente che, nonostante questa indicazione di massima, possono esserci delle variazioni legate al pattern di frattura, al peso del paziente, all’esperienza e preferenza del chirurgo. Fino a 6 mesi di età il trattamento consigliato è il tutore di Pavlik 17. Applicato immediatamente risulta idoneo a ridurre il dolore, stabilizzare il femore e provvedere ad ottenere una rapida guarigione, confidando anche sulla capacità di rimodellamento a questa età. Tra i 6 mesi ed i 5 anni di età il trattamento convenzionale prevede l’applicazione della trazione e dopo circa 2 settimane il confezionamento di un gesso tipo pelvi podalico 18 fino alla consolidazione. Altra ipotesi di trattamento è l’immediato confezionamento dell’apparecchio gessato, metodica preferita dagli autori. Come riportato da Buehler et al. 19, tale metodica determina un 95% di successi; Yandow et al. 20 riportano risultati confrontabili al trattamento con trazione e successivo gesso, ad eccezione del fatto che sono riportati in letteratura episodi di paralisi peroneale, una sepsi, ed un caso di fat embolism, una maggiore frequenza di viziose consolidazioni ed esiste un significativo aumento di costi in termini di degenza ospedaliera nel trattamento con trazione (Fig. 3).
Al contrario l’immediato trattamento in gesso si dimostra semplice, sicuro e non richiede particolari competenze, come riportato da Infante et al. 21, presentando tuttavia lo svantaggio del rischio di sindrome compartimentale, ridotta motilità ed impossibilita ad esplorare i tessuti molli sottostanti con possibilità di insorgenza anche di piaghe da decubito. Un ulteriore limite è rappresentato dalla necessità di dover effettuare controlli radiologici seriati per poter correggere eventuali perdite di riduzione in gesso e dunque la necessita di rivedere frequentemente il paziente (Fig. 4).
Come ampiamente descritto in Tabella I, tutti i metodi di trattamento incruento confidano nelle capacità rimodellanti, solo la deformità rotatoria risulta essere scarsamente compensata. Per eseguire l’apparecchio gessato, ci avvaliamo di un apposito supporto da montare ed assicurare con stringhe sul lettino di sala gessi o di sala operatoria e ciò consente la facile esecuzione dell’apparecchio gessato.
Solo in due casi abbiamo trattato bambini sotto i 5 anni con chiodi elastici, dal momento che con il trattamento incruento la riduzione non è stata ritenuta soddisfacente e con indici di deformità non giudicati tollerabili e compensabili dal rimodellamento osseo (Fig. 5).
L’uso dei chiodi elastici nel trattamento delle fratture di femore si deve alla Scuola Nancy nel 1979 2: esso ad oggi rappresenta la nostra metodica di scelta nel trattamento di queste fratture nei pazienti sopra i 6 anni di età per la facilità della tecnica operatoria e gli ottimi risultati a distanza.
Tecnica chirurgica di riduzione e sintesi con ESIN
Eseguiamo l’intervento in anestesia generale sotto profilassi antibiotica senza letto di trazione. Ottenuta la riduzione chiusa tramite trazione e rotazione e appena l’allineamento è confermato sui due piani dall’amplificatore di brillanza, eseguiamo inchiodamento retrogrado con due chiodi elastici. Applichiamo due chiodi dello stesso diametro; per la scelta della misura utilizziamo la formula proposta da Kasser and Beaty 23, diametro interno/2-0,5 mm, in modo da ottenere circa il 70-80% di riempimento del canale e ciò ci garantisce una sufficiente stabilità di frattura. Contrariamente a quanto previsto dalla tecnica operatoria, non affondiamo i chiodi elastici nel sottocute, preferendo lasciarli percutanei poiché in passato abbiamo osservato migrazioni nel canale femorale e alcune difficoltà all’estrazione. Questa scelta, sebbene ponga qualche disagio al paziente e lo obblighi ad una maggiore oculatezza nella gestione dei tramiti nel follow-up a lungo termine, non pone grandi problematiche e l’unico reale rischio consiste nell’infezione locale del tramite in misura confrontabile a quanto accade con gli elementi di presa del fissatore esterno. Questa metodica di trattamento riduce i tempi di ospedalizzazione e di conseguenza i costi, risulta ben tollerata dai pazienti, e la facilità della tecnica operatoria lo rende facilmente riproducibile (Fig. 6).
Il fissatore esterno rappresenta di certo una metodica di trattamento delle fratture diafisarie di femore in età pediatrica, specie in presenza di esposizione, danno ai tessuti molli, politrauma o grave comminuzione del focolaio. Difatti il fissatore esterno, come confermato da Lin et al. 24 e da Wang et al. 25, determinerebbe un’osteosintesi più stabile ed un maggiore controllo della rotazione confrontato ai chiodi elastici, maggiore tuttavia il rischio di rigidità legato alla transfissione del tensore della fascia lata. La complicanza maggiormente osservata è infezione dei tramiti, che tuttavia molto raramente può trasformarsi in una vera osteomielite e che sebbene in minor misura, abbiamo osservato anche nei chiodi elastici percutanei dato che usualmente vengono da noi lasciati percutanei. Aslani et al. 26 riportano un alto rischio di rifrattura con incidenza fino al 22% nell’utilizzo del fissatore esterno. Tuttavia nonostante il dato di letteratura, non abbiamo mai osservato tale complicanza. Garner et al.27 descrivono risultati confrontabili a lungo termini in termini di consolidazione, rischio di dismetria, ma un maggiore rischio di mancata consolidazione o ritardo qualora si usassero chiodi elastici in pazienti di peso > 45 kg, per cui in questi consigliamo l’uso del fissatore esterno. I tempi di guarigione sono significativamente più brevi nei chiodi elastici (Fig. 7).
Conclusioni
Le fratture di femore in età pediatrica presentano diverse opzioni terapeutiche. Le metodiche preferite dagli autori sono rappresentate da un immediato trattamento in gesso nei pazienti di età inferiore ai 5 anni e dall’utilizzo dei chiodi elastici al di sopra dei 6 anni di età. Tali metodiche si sono dimostrate sicure, efficaci e rapide nell’ottenere la consolidazione, minimizzando i tempi di ospedalizzazione rispetto ad altre metodiche che tuttavia presentano la loro indicazione e validità terapeutiche in alcune particolari condizioni.
Storia
Ricevuto: 12 febbraio 2024
Accettato: 4 aprile 2025
Figure e tabelle
Figura 1. Divaricatore di Pavlik.
Figura 2. Gallow’s traction e Hamilton-Russel skin-traction (illustrazione da Connolly “Fratture e Lussazioni. Metodiche di Trattamento”, Verduci Editore, Roma, 2006. Con autorizzazione).
Figura 3. Paziente trattato con Gallow traction fino alla consolidazione in varo ed accorciamento.
Figura 4. Paziente di anni 5 trattato immediatamente con apparecchio gessato pelvipodalico con perdita di riduzione alla radiografia a 7 gg che ha reso necessario il rinnovo dell’apparecchio gessato per correggere la deformità e mantenuto fino alla consolidazione.
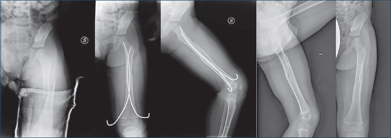
Figura 5. Paziente di 4 anni con gesso pelvi podalico, successivo controllo radiografico ritenuto “non accettabile” e successivo shift con chiodi elastici con cui si è ottenuta la consolidazione.
Figura 6. Paziente di anni 7, all’arrivo in PS immobilizzato nella notte in ferula e trattato con chiodi elastici giungendo a consolidazione a 60 gg.
Figura 7. Paziente di anni 8, trauma in motociclo elettrico, concomitava trauma contusivo splenico, trattato in urgenza con fissatore esterno, consolidazione a 90 giorni con follow-up radiologico a 3 anni.
| Età | Angolazione varo-valgo | Angolazione LL | Accorciamento |
|---|---|---|---|
| 0-2 | < 30° | < 30° | < 20 mm |
| 2-5 | < 20° | < 20° | < 20 mm |
| 6-10 | < 20° | < 15° | < 15 mm |
| 11-14 | < 5° | < 10° | < 10 mm |
| Gruppo | Trattamenti |
|---|---|
| Gruppo Incruento (GI) | 14 pelvipodalici (IGPP) |
| 2 trazione gallows (IST) | |
| 2 Pelvipodalico e shift a 1 settimana con chiodi elastici | |
| Gruppo Cruento (GC) | 12 chiodi elastici (CCEE) |
| 3 fissatore esterno (CFE) | |
| -- placca |
| Trattamento | Varo-valgo | Discrepanza di lunghezza | Rotazione | Procurvo-recurvo | Complicanze | Media consolidazione |
|---|---|---|---|---|---|---|
| Gesso | 1 | 3 < 1,5 cm | 0 | 1 | 1 decubito gluteo | 30-60gg |
| Gallows traction | 1 | 1 < 1,5 cm | 1 | 1 | 1 Lesioni cutanee da skin | 30-60gg |
| Chiodi elastici | 1 | 1 > 1,5 cm | 0 | 0 | 4 infezioni tramiti | 45-80gg |
| Fissatore esteno | \\ | 1 < 1,5 cm | 0 | 0 | 1 infezione tramiti | 60-90gg |
